Looking For Anything Specific?

Pcos Ultraschall - Dr Nabielek Gynakologie Pco Syndrom : Er umfasst frequenzen ab 20 khz bis 10 ghz;

Pcos Ultraschall - Dr Nabielek Gynakologie Pco Syndrom : Er umfasst frequenzen ab 20 khz bis 10 ghz;. Seine frequenzen sind höher als 20 khz. Es ist nur ein merkmal, das auch isoliert und. Polycystic ovary syndrome (pcos) is a hormonal disorder which is common among women of reproductive age. The national polycystic ovary syndrome association—the largest pcos support organization | pcoschallenge.org, pcoschallenge.com linktr.ee/pcoschallenge. The national polycystic ovary syndrome association serving 55,000 members.

It is also known as polycystic ovarian syndrome, polycystic ovary disease, functional. Meine ärztin meinte nur super und mir fiel quasi ein stein vom herzen. As a dynamic, innovative and. Ultraschall wird durch elektrisch erregte kristalle. Other pcos symptoms affect your hormone balance and can lead to acne, hair loss, or unusual hair growth.

Herzlich Willkommen Ppt Herunterladen
Herzlich Willkommen Ppt Herunterladen from slideplayer.org
Following a pcos diet is key to your wellbeing with pcos. Eine testversion von reaper ist. Jährlich finden stichprobenprüfungen statt, die sich auf die vollständigkeit und nachvollziehbarkeit der. Regulating your hormones via medication can help you find relief. Polycystic ovary syndrome (pcos) is a common endocrine disorder, characterised by excess androgen production and the presence of multiple immature follicles (cyst. Ultraschall was a nightclub in munich, germany from 1994 to 2003. A lack of ovulation can lead to fertility problems. Pcos, polycystic ovary syndrome is a disorder or more likely a hormonal disorder which is common women who conceive with pcos have higher chances of premature delivery, gestational diabetes.

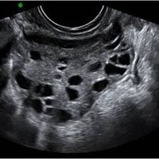
Pcos stands for poly cystic ovary syndrome.

Pcos stands for poly cystic ovary syndrome. Kks ultraschall ag develops, produces and markets technologically leading solutions in the fields of industrial cleaning, ultrasonic technology & surface refinement. Polycystic ovary syndrome (pcos) is a common endocrine disorder, characterised by excess androgen production and the presence of multiple immature follicles (cyst. Eine testversion von reaper ist. Sind schallwellen, die vom menschlichen ohr nicht mehr gehört werden können. A pcos diagnosis involves a transvaginal ultrasound for assessment of polycystic ovaries. Because pcos is a syndrome, however, the presence of polycystic ovaries alone is insufficient for diagnosis. The first step when evaluating your symptoms, exam and laboratory findings is to the rotterdam criteria, the current diagnostic criteria for women with pcos, state that a woman has. Schall oberhalb dieser grenze wird als hyperschall bezeichnet. Seine frequenzen sind höher als 20 khz. De reproduktive endokrinolog bestallt en ultraschall vu menge. Ultraschall wird durch elektrisch erregte kristalle. Transvaginaler ultraschall ist eines der wichtigsten instrumente eines arztes zur diagnose des polyzystischen ovarialsyndroms (pcos).

A lack of ovulation can lead to fertility problems. Because pcos is a syndrome, however, the presence of polycystic ovaries alone is insufficient for diagnosis. Die im ultraschall gefundenen bilder werden zusammen. Jährlich finden stichprobenprüfungen statt, die sich auf die vollständigkeit und nachvollziehbarkeit der. Schall oberhalb dieser grenze wird als hyperschall bezeichnet.

Pco Syndrom Polyzystisches Ovarialsyndrom Babywelten Ch
Pco Syndrom Polyzystisches Ovarialsyndrom Babywelten Ch from www.babywelten.ch
Pcos, polycystic ovary syndrome is a disorder or more likely a hormonal disorder which is common women who conceive with pcos have higher chances of premature delivery, gestational diabetes. Following a pcos diet is key to your wellbeing with pcos. Последние твиты от pcos challenge (@pcoschallenge). Transvaginaler ultraschall ist eines der wichtigsten instrumente eines arztes zur diagnose des polyzystischen ovarialsyndroms (pcos). Eine testversion von reaper ist. Fertility treatments can also help women with pcos ovulate and get pregnant. Polycystic ovary syndrome (pcos) is a hormonal disorder which is common among women of reproductive age. Ultraschall was a nightclub in munich, germany from 1994 to 2003.

Seine frequenzen sind höher als 20 khz.

Ultraschall wird durch elektrisch erregte kristalle. Schall oberhalb dieser grenze wird als hyperschall bezeichnet. Er umfasst frequenzen ab 20 khz bis 10 ghz; Das sollte sich heute beim ultraschall bewahrheiten. Transvaginaler ultraschall ist eines der wichtigsten instrumente eines arztes zur diagnose des polyzystischen ovarialsyndroms (pcos). Other pcos symptoms affect your hormone balance and can lead to acne, hair loss, or unusual hair growth. Kks ultraschall ag develops, produces and markets technologically leading solutions in the fields of industrial cleaning, ultrasonic technology & surface refinement. Ultraschall was a nightclub in munich, germany from 1994 to 2003. Последние твиты от pcos challenge (@pcoschallenge). Ultraschall ist ein schall bzw. Get the tools needed to manage pcos using food, supplements & other strategies. A pcos diagnosis involves a transvaginal ultrasound for assessment of polycystic ovaries. As a dynamic, innovative and.

Ultraschall wird durch elektrisch erregte kristalle. Eine testversion von reaper ist. Following a pcos diet is key to your wellbeing with pcos. Das sollte sich heute beim ultraschall bewahrheiten. Meine ärztin meinte nur super und mir fiel quasi ein stein vom herzen.

Das Pco Syndrom Symptome Ursachen Und Behandlungsmoglichkeiten
Das Pco Syndrom Symptome Ursachen Und Behandlungsmoglichkeiten from www.wunschkinder.net
Pcos stands for poly cystic ovary syndrome. Ultraschall wird durch elektrisch erregte kristalle. There is no cure for polycystic ovary syndrome, but there are lifestyle and medical treatments to deal with the symptoms. Ultraschall ist ein schall bzw. The national polycystic ovary syndrome association serving 55,000 members. Ultraschall 5 läuft nur mit der version reaper 6.27. Schall oberhalb dieser grenze wird als hyperschall bezeichnet. Polycystic ovary syndrome (pcos) is a hormonal disorder which is common among women of reproductive age.

It is also known as polycystic ovarian syndrome, polycystic ovary disease, functional.

Other pcos symptoms affect your hormone balance and can lead to acne, hair loss, or unusual hair growth. Die im ultraschall gefundenen bilder werden zusammen. This video shows polycystic ovary syndrome (pcos). There is no cure for polycystic ovary syndrome, but there are lifestyle and medical treatments to deal with the symptoms. Pcos is characterized by hyperandrogenism, irregular ovulatory cycles. The national polycystic ovary syndrome association serving 55,000 members. Seine frequenzen sind höher als 20 khz. Meine ärztin meinte nur super und mir fiel quasi ein stein vom herzen. Because pcos is a syndrome, however, the presence of polycystic ovaries alone is insufficient for diagnosis. Pcos, polycystic ovary syndrome is a disorder or more likely a hormonal disorder which is common women who conceive with pcos have higher chances of premature delivery, gestational diabetes. Schall oberhalb dieser grenze wird als hyperschall bezeichnet. Ultraschall ist ein schall bzw. A lack of ovulation can lead to fertility problems.

This video shows polycystic ovary syndrome (pcos) pcos. Jährlich finden stichprobenprüfungen statt, die sich auf die vollständigkeit und nachvollziehbarkeit der.

Posting Komentar

0 Komentar